
当院では保険診療だけでなくセラミック治療やインプラント治療などにも力をいれており、インプラント治療のほうは毎日オペがあるくらい症例をこなしております。
この1年間の実績としては500本をゆうに超えており、岡崎市でも断トツの件数かと思います。 おかげ様で様々なクリニック様からインプラント症例をご依頼いただいております。
インプラント治療でも特に得意なところとすると、骨や歯茎の移植を含む大きなケース(オールオンフォーなど)です。オールオンフォーとは無歯顎の方でインプラント4本で歯を作る方法で、咬合回復は勿論のこと審美回復も可能となります。
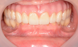
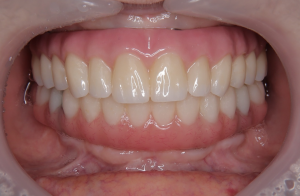
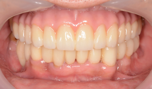
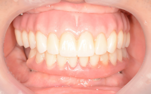
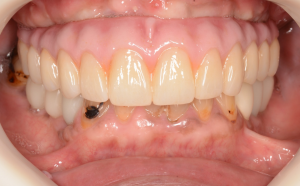
これらは当院で施術した無歯顎の方の上顎オールオンフォーの一部ケースです。







歯がなくなってもインプラントを使えば即日入れ歯から解放されます。画像のように見た目のコンプレックスも容易に解消可能です。
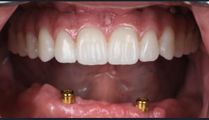
オペ時間は抜歯(保存不可能な歯)からインプラント埋入、そして固定式の仮歯セットまで約3時間です。もちろん麻酔専門医による静脈内鎮静法で眠った状態で受けていただけます。稀にインプラントを入れてから待機期間中は入れ歯を使ってもらっているクリニックもあるようですが、本来のオールオンフォーインプラント埋入したその日に固定式の仮歯を入れる方法となっています。
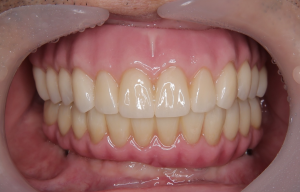
最終の歯は歯茎付きのものになりますがが、自分の歯茎との境界線は大きく笑っても唇に隠れるところに設定しているのでとても自然な仕上がりで作り物とは気づかれることのないレベルです。
 

  
どうでしょうか? 歯にコンプレックスがあったかたでも大きく口をあけて笑えるようになることでしょう。
肝心の歯を制作しているのは当法人のグループ技工所ですが、最新設備で経験豊富な技工士が担当しているので安心してセットできます。 施術は専門医、歯の製作はインプラント専門技工士が請け負っているのでインプラント審美ケース、骨が少ないから出来ないと言われた難症例ケースは是非当院にお任せください。
患者様だけでなく、
他院様でインプラント治療が上手くいかなかったリカバリーケース、骨や歯茎が少ない時のグラフト依頼、技工物の製作のみでもお引き受けしますのでお気軽にご相談ください。

